00. Home Главная. 01. Service Прайс-лист. 02. Persona О докторе. 03. Offers Акции. 04. Trust Отзывы.
Записаться Позвонить
Caries Treatment

Бережная
реставрация

Качественное лечение кариеса с восстановлением анатомии зуба. Невидимые пломбы и долговечный результат.

Стоимость

от 8 000 ₽

Время

60 минут

Доктор Гусева

Пакеты услуг.

Всё включено: анестезия, коффердам и эстетическая работа

01. Легкий

Поверхностный

Небольшие поражения эмали. Быстрое и комфортное восстановление.

8 000 ₽ Запись
02. Стандарт

Средний кариес

Тщательная обработка дентина и восстановление анатомии зуба.

9 000 ₽ Запись
03. Сложный

Глубокий кариес

Работа вблизи пульпы. Сохраняем зуб живым и здоровым.

10 000 ₽ Запись

Результат.

Реальные кейсы наших пациентов

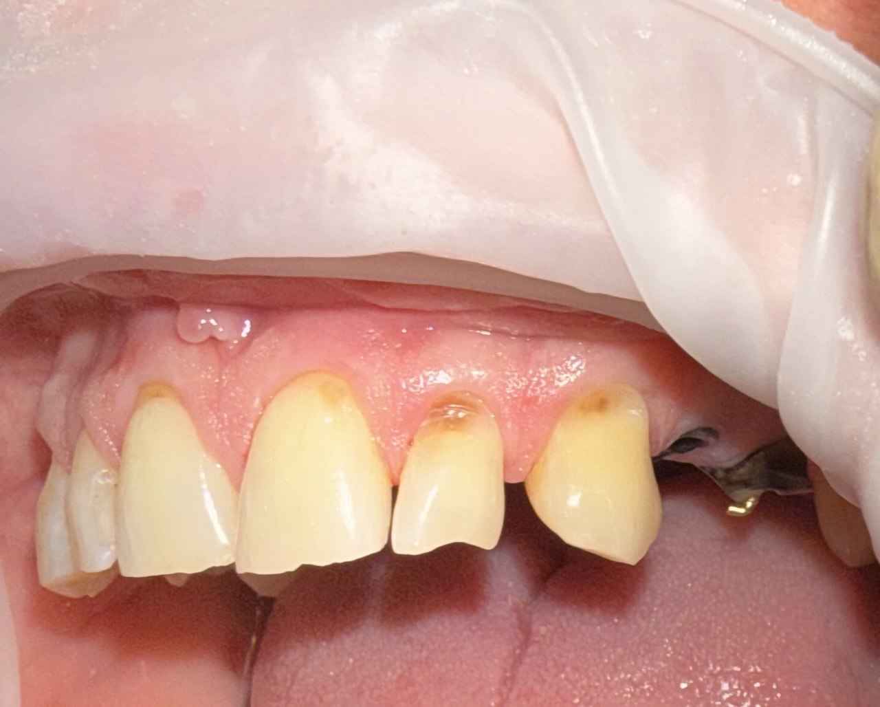
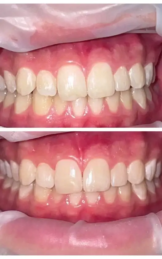
Результат лечения кариеса — после реставрации Зуб до лечения кариеса
До
После
Результат лечения кариеса — после реставрации Зуб до лечения кариеса
До
После

Вопросы.

Больно ли лечить кариес?

Нет. Мы используем современную анестезию, которая полностью исключает болевые ощущения. Вы не почувствуете дискомфорта во время лечения.

Сколько длится лечение?

В среднем 40–60 минут на один зуб. Время зависит от степени поражения и сложности реставрации.

Сколько прослужит пломба?

При правильном уходе качественная реставрация служит 7–10 лет и более. Мы используем премиальные композитные материалы с высокой износостойкостью.

Можно ли вылечить кариес без сверления?

На стадии пятна — да, с помощью реминерализирующей терапии. Если кариес уже проник в дентин, необходимо препарирование с последующей реставрацией.

Почему цена разная?

Ваша улыбка
в надежных руках.

Конфиденциально • Перезвоним в течение 10 минут