00. Home Главная. 01. Service Прайс-лист. 02. Persona О докторе. 03. Offers Акции. 04. Trust Отзывы.
Записаться Позвонить
Dental Hygiene

Чистота
и сияние

Профессиональная гигиена по швейцарскому протоколу. Возвращаем естественную белизну за один визит.

Стоимость

7 000 ₽

Время

40 минут

Доктор Гусева

Три этапа.

Бескомпромиссный швейцарский стандарт

01

Air-Flow

Мягкое удаление пигментированного налета мелкодисперсным порошком. Зубы светлеют на глазах.

02

Ультразвук

Удаление зубного камня в труднодоступных зонах. Фундамент здоровья ваших десен.

03

Полировка

Создание идеально гладкой поверхности. Эффект чистоты сохраняется в два раза дольше.

Результат.

Реальные кейсы наших пациентов

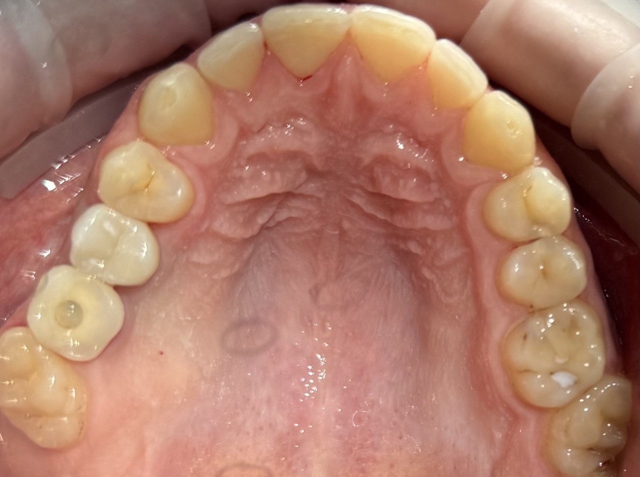
Комплексная гигиена
Результат профессиональной гигиены зубов — после Зубы до профессиональной гигиены
До
После
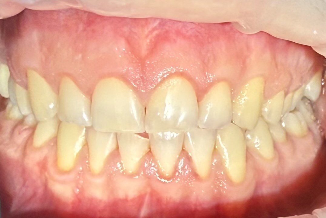
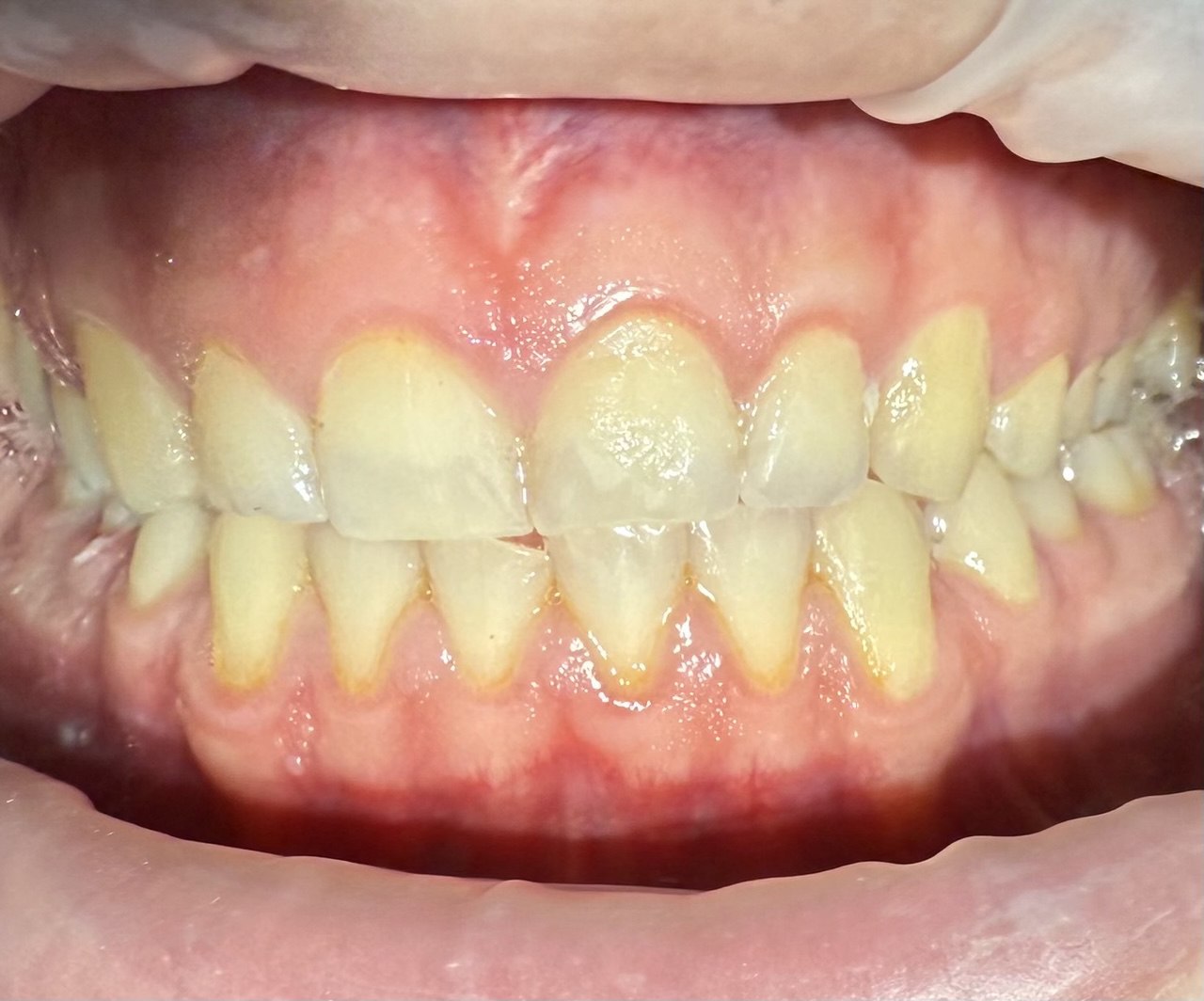
Удаление налета
Результат профессиональной гигиены зубов — после Зубы до профессиональной гигиены
До
После

Вопросы.

Как часто нужна чистка?

Обычно раз в 6 месяцев. Если вы носите брекеты или любите крепкий кофе — рекомендую визит раз в 3–4 месяца.

Это больно?

Процедура абсолютно комфортна. Мы используем деликатный швейцарский протокол, который исключает неприятные ощущения.

Ваша улыбка
в надежных руках.

Конфиденциально • Перезвоним в течение 10 минут